Bài viết được tư vấn chuyên môn bởi Thạc sĩ, Bác sĩ Nguyễn Thị Mai Anh – Bác sĩ Chẩn đoán hình ảnh – Khoa Chẩn đoán hình ảnh và Y học hạt nhân – Bệnh viện Đa khoa Quốc tế Vinmec Times City. Bác sĩ Nguyễn Thị Mai Anh đã có gần 10 năm kinh nghiệm trong lĩnh vực Chẩn đoán hình ảnh đặc biệt trong chẩn đoán hình ảnh ung thư vú, giáp.
U bàng quang là loại u thường gặp trong các bệnh nhân bị ung thư đường tiết niệu. Siêu âm bàng quang giúp xác định được những bất thường, đặc điểm hình thái của bàng quang. Vậy phương pháp này được thực hiện như thế nào, hình ảnh u bàng quang trên siêu âm ra sao? Bài viết sẽ giúp bạn đọc hiểu rõ hơn về phương pháp siêu âm chẩn đoán các bệnh về bàng quang.
1. U bàng quang là gì?
U bàng quang là loại u thường gặp trong các ung thư ung thư đường tiết niệu. Đây là loại u chiếm tỷ lệ cao nhất trong các loại u đường niệu và hay gặp thứ hai trong các u đường tiết niệu – sinh dục.
Theo thống kê, trên thế giới u bàng quang là bệnh đứng thứ hai sau ung thư tiền liệt tuyến.
2. Nguyên nhân bị u bàng quang
Theo nghiên cứu, u bàng quang do nhiều căn nguyên gây nên, trong đó có nguyên nhân chính sau:
Do di truyền:
Do có sự thay đổi bất thường trong quá trình sao chép từ ADN sang ARN dẫn tới sự thay đổi trong quá trình tổng hợp protein.
Do thuốc lá:
Thói quen hút thuốc lá là yếu tố chính gây xuất hiện u bàng quang và trở thành ung thư bàng quang nếu là khối u ác tính. Theo thống kê, người ta ước tính rằng 1/3 số bệnh nhân ung thư bàng quang có liên quan đến thuốc lá, tỷ lệ người hút thuốc có nguy cơ bị ung thư bàng quang cao gấp bốn lần người bình thường và tỷ lệ này tương đương ở cả hai giới.
Theo thống kê cho thấy 50% bệnh nhân nam u bàng quang có hút thuốc và ở nữ là 35%.
Do nghề nghiệp, môi trường tiếp xúc:
Môi trường làm việc liên quan tới ngành in, hóa chất, nhuộm, cao su, dầu mỏ, thuộc da thì có nguy cơ mắc bệnh cao. Nguyên nhân do các chất: benzidine, beta-naphthylamine và 4-aminobiphenyl, chất có nguy cơ gây bệnh. Thực tế, cơ chế nào các hóa chất trên gây ra u vẫn chưa biết chính xác nhưng dường như đó là một quá trình gồm nhiều bước và liên quan đến quá trình kích hoạt gen tạo ung thư và quá trình ức chế hoặc làm mất hoàn toàn gen ức chế ung thư.
Do sán:
Loại sán gây bệnh u bàng quang thường xuất hiện ở các nước châu Phi do một loại sán máu có tên khoa học là Schistosoma.
3. Triệu chứng của u bàng quang
Triệu chứng lâm sàng
Đái ra máu: Triệu chứng này xuất hiện ở 85 – 90% số bệnh nhân. Đái ra máu vô cớ, có thể là đái ra máu đại thể hoặc vi thể, đái ra máu cục, hay tái phát. Ngoài đái ra máu kèm theo triệu chứng đái rắt, đái buốt.
Có thể có đau xương nếu di căn xương, đau thắt lưng nếu di căn vào khoang sau phúc mạc hoặc chèn ép niệu quản.
Triệu chứng cận lâm sàng
Siêu âm:
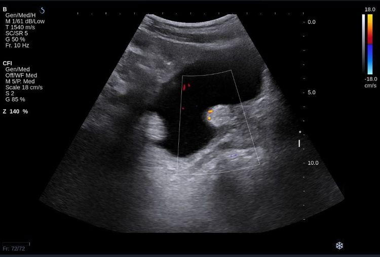
Siêu âm là một xét nghiệm tiện lợi, nhanh chóng, hiệu quả chính xác cao giúp bác sỹ có thể thấy được hình ảnh của toàn bộ lòng bàng quang và thành bàng quang, từ đó có thể nhìn thấy được 1 hoặc nhiều u, đôi khi thấy được cả hình ảnh thâm nhiễm của u.
Siêu âm cũng là phương tiện theo dõi tái phát sau điều trị nội soi u nông bàng quang. Ngoài ra còn thấy được hình ảnh thận, bể thận, tiền liệt tuyến,…
4. Hình ảnh u bàng quang trên siêu âm
Bệnh lý bàng quang có nhiều dấu hiệu khác nhau, từ đó hình ảnh siêu âm cũng khác nhau. Các bệnh lý bàng quang thường gặp:
Dày thành bàng quang lan tỏa:
Có 2 nguyên nhân chính gây dày thành bàng quang lan tỏa:
Bàng quang thần kinh. Khi siêu âm hình ảnh thành bàng quang dầy, có hình “thắt eo” trên mặt cắt ngang. Nhiều hình thắt như vậy tạo nên hình cây thông.
Viêm bàng quang do lao. Bàng quang có thành dày, thể tích nhỏ. Bệnh nhân cảm thấy bàng quang đầy khi chụp ảnh siêu âm này.
Dày thành bàng quang khu trú:
Nguyên nhân gây dày thành bàng quang khu trú:
Ung thư biểu mô tế bào chuyển tiếp – đây là nguyên nhân hay gặp nhất. Hình dạng rất biến đổi, có thể có vỏ vôi hóa trên bề mặt.
Bệnh sán máng phổ biến ở giai đoạn muộn, nhưng thường dày khu trú.
Các thành phần và tổn thương trong bàng quang:
Sỏi Có bề mặt tăng âm hình liềm, bóng cản điển hình. Di chuyển theo tư thế bệnh nhân
Sonde tiểu
Máu cục Có thể di chuyển hoặc dính vào thành bàng quang. Biến mất tự phát hoặc khi rửa.
Ung thư biểu mô tế bào chuyển tiếp Lồi dưới dạng polyp
Các tổn thương dạng nang phối hợp với thành bàng quang:
Thoát vị niệu quản: Thường ở tam giác nhưng có thể lạc chỗ. Kích thước thay đổi theo nhu động niệu quản
Túi thừa bàng quang khi siêu âm thấy thành mỏng lòi ra ngoài bàng quang. Thay đổi kích thước khi bàng quang đầy hoặc sau đi đái
Nang niệu rốn xuất hiện giữa bàng quang và rốn
Nang ống Muller Không thông với bàng quang
Kỹ thuật siêu âm để chẩn đoán các bệnh về bàng quang là phương pháp an toàn, lại ít gây biến chứng nên bác sỹ thường lựa chọn để thực hiện. Do đó, nếu cơ thể có những biểu hiện không bình thường, bệnh nhân nên đi khám để được chẩn đoán và điều trị bệnh càng sớm càng tốt.
Nguồn tham khảo: Vinmec




